
订单提交后,10分钟内,我们将安排工作人员和您联系!
北京科检检测技术集团有限公司
电话:400-6863-680
邮箱:Beijingkejian@163.com
地址:北京市通州区永乐店开发区B区4号1幢2层1219室
特殊染色是病理学和组织学中使用的一种染色方法,用于显示组织或细胞中的特定成分,这些成分在常规的苏木精 - 伊红(HE)染色中可能无法清晰地显示。以下是关于特殊染色的详细介绍:**一、常见的特殊染色方法及原理**1. 网状纤维染色 - 原理:网状纤维主要成分是Ⅲ型胶原蛋白,其表面有糖蛋白,具有
400-6863-680 立即咨询特殊染色是病理学和组织学中使用的一种染色方法,用于显示组织或细胞中的特定成分,这些成分在常规的苏木精 - 伊红(HE)染色中可能无法清晰地显示。以下是关于特殊染色的详细介绍:
**一、常见的特殊染色方法及原理**
1. 网状纤维染色
- 原理:网状纤维主要成分是Ⅲ型胶原蛋白,其表面有糖蛋白,具有嗜银性。常用的染色方法是银染法,例如Gomori法。在这个方法中,通过氨银溶液处理组织切片,银离子会被网状纤维吸附,然后经过还原反应,使银离子还原为金属银,沉积在网状纤维上,使其呈现黑色。这种染色对于显示肝脏、脾脏等组织中的网状支架结构非常有效。
2. 弹力纤维染色
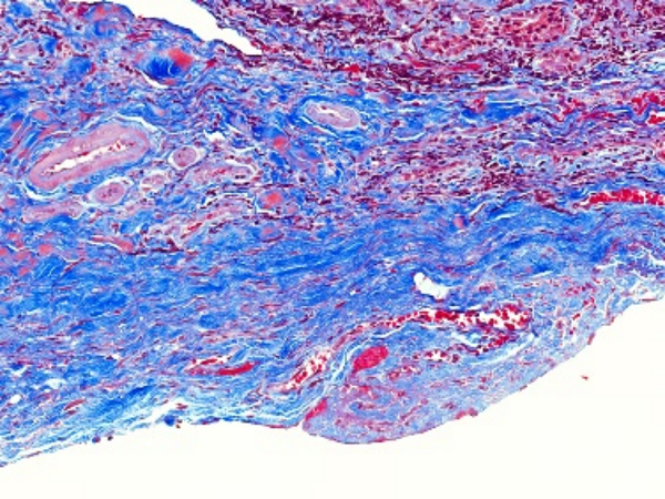
- 原理:弹力纤维的主要成分是弹性蛋白,它在一些组织(如血管壁、皮肤等)中发挥重要作用。常用的染色方法有维多利亚蓝染色法和地衣红染色法。以维多利亚蓝染色法为例,维多利亚蓝是一种碱性染料,它能与弹力纤维中的酸性基团结合,使弹力纤维染成蓝色,从而清晰地显示出弹力纤维在组织中的分布和形态。
3. 糖原染色
- 原理:糖原是一种多糖,主要存在于肝细胞和肌细胞中。过碘酸 - 希夫(PAS)反应是检测糖原最常用的方法。过碘酸能将糖原中的乙二醇基氧化为醛基,醛基与希夫试剂(无色品红)反应,生成紫红色的化合物,使糖原所在部位显色。这种染色不仅可以用于显示糖原,还能显示其他含有多糖结构的物质,如黏多糖、糖蛋白等。
4. 脂肪染色
- 原理:苏丹染料(如苏丹Ⅲ、苏丹Ⅳ)是一种脂溶性染料,能溶解于脂肪中,使脂肪呈现出橘红色(苏丹Ⅲ)或红色(苏丹Ⅳ)。在染色过程中,组织中的脂肪会与苏丹染料结合,从而可以观察脂肪在组织中的分布情况。这种染色常用于检测脂肪变性、脂肪瘤等病变。
5. 黏液染色
- 原理:黏液主要成分是黏多糖和糖蛋白。阿利新蓝染色是常用的黏液染色方法之一。阿利新蓝是一种阳离子染料,在酸性环境下,它能与酸性黏多糖结合,使黏液染成蓝色。不同类型的黏液(如硫酸化黏液和非硫酸化黏液)在染色后的颜色深浅和分布可能有所不同,这有助于区分不同类型的黏液分泌细胞和病变。
**二、实验材料和设备**
1. 材料
- 组织样本:一般为石蜡切片或冰冻切片。石蜡切片需要经过固定、脱水、透明、浸蜡等常规处理;冰冻切片则是将组织快速冷冻后切片,对于一些需要快速检测或保留抗原活性的情况较为适用。
- 染色试剂:根据不同的染色方法,需要相应的特殊染色试剂。例如,网状纤维染色需要氨银溶液、甲醛等;糖原染色需要过碘酸、希夫试剂等。这些试剂通常需要按照一定的配方和步骤进行配制。
- 其他试剂:如乙醇(用于脱水)、二甲苯(用于透明)、蒸馏水等,用于切片的预处理和后处理。
2. 设备
- 切片机:用于制作石蜡切片或冰冻切片。
- 染色缸:用于盛放各种染色试剂,方便组织切片在不同试剂中浸泡染色。
- 显微镜:用于观察染色后的组织切片,评估染色效果和组织结构。
- 载玻片和盖玻片:用于承载组织切片和封片。
**三、实验步骤(以糖原染色为例)**
1. 石蜡切片染色步骤
- 脱蜡至水:
- 将石蜡切片放入二甲苯Ⅰ中浸泡10 - 15分钟,使石蜡溶解,更换二甲苯Ⅱ,再浸泡10 - 15分钟。
- 然后依次放入100%乙醇Ⅰ、100%乙醇Ⅱ、95%乙醇、80%乙醇、70%乙醇各浸泡5分钟左右,最后用蒸馏水冲洗切片,使切片从有机相过渡到水相。
- 过碘酸氧化:
- 将切片放入过碘酸溶液中,在室温下浸泡10 - 15分钟。过碘酸的作用是将糖原中的乙二醇基氧化为醛基。
- 希夫试剂染色:
- 用蒸馏水冲洗切片后,立即将切片放入希夫试剂中,在室温下避光染色10 - 30分钟。希夫试剂与醛基反应,使糖原染成紫红色。
- 复染(可选):
- 如果需要更清晰地显示组织结构,可以用苏木精对细胞核进行复染,使细胞核染成蓝紫色。
- 脱水、透明和封片:
- 染色后,将切片依次放入70%乙醇、80%乙醇、95%乙醇、100%乙醇Ⅰ、100%乙醇Ⅱ各浸泡5分钟左右进行脱水。
- 然后放入二甲苯Ⅰ、二甲苯Ⅱ各浸泡5 - 10分钟进行透明。
- 最后在切片上滴加适量中性树胶,盖上盖玻片,用镊子轻轻按压,使盖玻片与切片贴合紧密,避免产生气泡。
2. 冰冻切片染色步骤
- 固定:
- 新鲜的冰冻切片从冰箱中取出后,立即放入固定液(如4%多聚甲醛)中固定10 - 15分钟,使组织细胞的形态和结构固定。
- 水洗:
- 用蒸馏水冲洗切片3 - 5次,每次3 - 5分钟,去除固定液。
- 过碘酸氧化、希夫试剂染色、复染(可选):
- 步骤与石蜡切片基本相同,但由于冰冻切片没有经过石蜡包埋等处理,组织结构相对脆弱,在操作过程中要更加小心,避免切片损坏。
- 脱水、透明和封片:
- 因为冰冻切片较薄,脱水和透明时间可以适当缩短。通常在70%乙醇、80%乙醇、95%乙醇、100%乙醇各浸泡3 - 5分钟,二甲苯Ⅰ、二甲苯Ⅱ各浸泡3 - 5分钟,然后进行封片。
**四、结果观察与分析**
1. 糖原染色
- 糖原被染成紫红色。在正常肝脏组织中,可以观察到肝细胞内有丰富的糖原颗粒;在糖尿病患者的肝脏组织中,糖原的含量和分布可能会发生改变。通过观察糖原的染色情况,可以对糖原代谢相关疾病进行诊断和研究。
2. 网状纤维染色
- 网状纤维呈黑色。在肝脏中,网状纤维围绕在肝细胞索周围,形成肝脏的支架结构;在脾脏的白髓和红髓交界处,也可以清晰地看到网状纤维的分布。这种染色对于判断肝脏纤维化程度、脾脏组织结构等有重要意义。
3. 弹力纤维染色
- 弹力纤维染成蓝色(以维多利亚蓝染色为例)。在血管壁中,弹力纤维呈环形或螺旋形分布,能够观察到动脉壁的弹力层结构。在皮肤组织中,弹力纤维存在于真皮层,与皮肤的弹性有关。通过观察弹力纤维的染色,可以了解血管和皮肤等组织的病变情况。
4. 脂肪染色
- 脂肪被染成橘红色(苏丹Ⅲ)或红色(苏丹Ⅳ)。在正常的脂肪组织中,可以看到大量被染色的脂肪细胞;在脂肪变性的组织(如脂肪肝)中,除了脂肪细胞外,肝细胞内也会出现被染色的脂肪滴。这种染色有助于诊断脂肪代谢紊乱等疾病。
5. 黏液染色
- 黏液染成蓝色(以阿利新蓝染色为例)。在胃肠道黏膜中,黏液分泌细胞分泌的黏液可以被染色,通过观察黏液的分布和含量,可以了解胃肠道黏膜的功能状态和病变情况,如炎症、肿瘤等。
**五、注意事项**
1. 试剂配制和保存
- 特殊染色试剂的配制需要严格按照配方和步骤进行。一些试剂(如银染试剂)的配制过程较为复杂,且对试剂的纯度、反应条件等要求较高。同时,要注意试剂的保存条件,例如,希夫试剂需要避光保存,银染试剂可能需要在特定的温度下保存,以防止试剂失效。
2. 染色时间和温度
- 染色时间和温度是影响染色效果的重要因素。不同的组织类型、切片厚度和染色试剂的批次等都会导致最佳染色时间的差异。一般来说,在常温下染色效果较好,但在温度较低时,染色时间可能需要适当延长。同时,在染色过程中要注意避免切片干燥,以免影响染色效果。
3. 对照设置
- 为了确保染色结果的准确性,需要设置对照。阳性对照是使用已知含有目标成分的组织切片进行染色,用于验证染色方法的有效性;阴性对照是使用不含目标成分的组织切片进行染色,用于检查是否有非特异性染色。通过对照可以更好地解释染色结果,提高实验的可靠性。

特殊染色是病理学和组织学中使用的一种染色方法,用于显示组织或细胞中的特定成分,这些成分在常规的苏木精 - 伊红(HE)染色中可能无法清晰地显示。以下是关于特殊染···...

免疫组化(Immunohistochemistry,IHC)是一种利用抗原 - 抗体特异性反应来定位和定性组织细胞中特定抗原的技术,在病理学、肿瘤学等众多领域发···...

